19 May 2026

The Scholar-Surgeon: Does Your Surgeon Need to be an Academic?

When you or a loved one faces a complex diagnosis—particularly in the field of Hepato-Pancreato-Biliary (HPB) surgery—the first priority is usually finding someone with "good…

9 May 2026

Surgery Abroad: Is the Journey Worth the Risk? A New Zealand Perspective

When a patient is faced with a surgical diagnosis and a public healthcare system that is undeniably under pressure—leading to significant wait times—the idea of…

23 April 2026

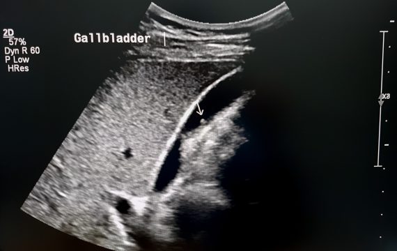
Why Your Gallbladder Matters Even Without “Typical” Pain

As an HPB (Hepato-Pancreato-Biliary) surgeon, I often meet patients who are surprised when they are told that they need gallbladder surgery (laparoscopic cholecystectomy). They haven't…

10 April 2026

Understanding HPB Surgery: Scope, Workload, and Training Path

Hepatopancreatobiliary (HPB) surgery is a subspecialty of general surgery that manages disorders of the liver, pancreas, gallbladder, and bile ducts. While often associated with cancer…

24 March 2026

Restoring Bile Flow – A Guide to Biliary Drainage Procedures

When the bile ducts—the tubes carrying bile from the liver to the small intestine—become blocked by stones, tumours, or scarring, a surgical "bypass" can be…

13 March 2026

Recovery at home after major pancreatic surgery

Recovery from major pancreatic surgery, such as a Whipple procedure, is a long-term process that continues for several months after you leave the hospital. While…

21 February 2026

Navigating Your Gallbladder Surgery: The Vital Role of the Intraoperative Cholangiogram (IOC)

If you are scheduled for a laparoscopic cholecystectomy (the surgical removal of the gallbladder), you may see a procedure called an Intraoperative Cholangiogram (IOC) listed on your consent form.…

9 February 2026

Global Expertise, Local Innovation: Advancing HPB Surgery Through Robotics

When you are diagnosed with a complex condition of the liver, pancreas, or biliary system, your first priority is finding a surgeon who combines deep…

22 January 2026

Anatomical variation when performing Laparoscopic Cholecystectomy

Laparoscopic cholecystectomy (gallbladder removal) is one of the most common operations performed worldwide. Because it is routine, there is a tendency to view it as…

12 January 2026

Understanding Pain and Numbness After Inguinal Hernia Repair: What to Expect

As a surgeon who performs a high volume of both laparoscopic (keyhole) and open inguinal hernia repairs, the most common question I hear isn’t about…

16 December 2025

Navigating the Intricacies: How Anatomical Variations impact Major Hepatectomy

As experienced hepatopancreatobiliary (HPB) surgeons, we know that no two livers are exactly alike. While the general structure of the liver is consistent, the detailed…

8 December 2025

Choosing the Right Mesh for Your Laparoscopic Inguinal Hernia Repair

As an experienced hernia surgeon, one of the most important decisions I make during your laparoscopic inguinal hernia repair is selecting the appropriate surgical mesh.…

20 November 2025

Minimally Invasive Pancreas Surgery: A National Success Story—Why Surgeon Experience Matters

If you or a loved one faces surgery to remove the body or tail of the pancreas—a procedure known as a distal pancreatectomy—you may be…

5 November 2025

Royal New Zealand College of GPs Annual CME day

Dr Srinivasa was recently invited to speak at the Annual Continuing Medical Education (CME) day of the Royal New Zealand College of GPs (RCNZGP). This…

24 October 2025

Still Feeling Pain After Gallbladder Surgery? The Remnant Cystic Duct

Having a cholecystectomy (gallbladder removal) is meant to eliminate painful gallstones. So it can be confusing and frustrating if a patient's symptoms—like severe pain, nausea,…

9 October 2025

HPB Surgery in the Pacific

I recently completed a charitable trip to the Colonial War Memorial (CWM) Hospital in Suva, Fiji. It was a humbling and educational experience and a…

20 September 2025

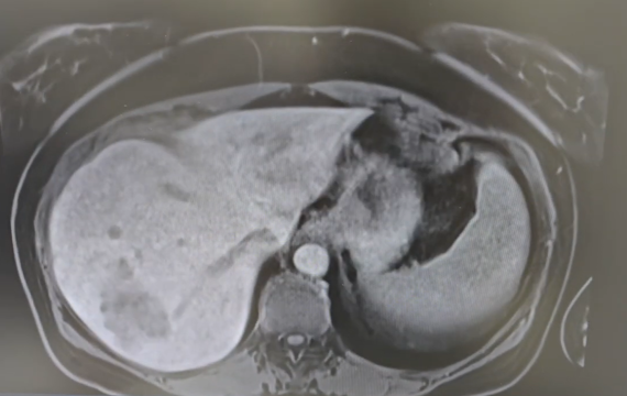
Beyond the 2D scan: A surgeon’s case for 3D liver reconstruction

For experienced liver surgeons, the ability to visualize complex anatomy is a deeply ingrained skill. Yet, relying on traditional 2D scans for preoperative planning in…

8 September 2025

Understanding Recurrence After Inguinal Hernia Surgery

For patients undergoing inguinal hernia surgery, a primary goal is to achieve the best possible long-term outcome and return to normal life without lingering concerns.…

16 August 2025

International Scholar program at Asan Medical Centre, Seoul, Korea

Asan Medical Centre is widely regarded as one of the best hospitals in the world, especially for liver and pancreas surgery. Dr Srinivasa recently spent…

12 August 2025

Dr Srinivasa interviewed by TV1 regarding Robotic Surgery

Robotic surgery is on the rise in New Zealand. However, most of the robots were in private hospitals, creating a cost barrier in the public…

5 August 2025

Preventing Bile Duct Injury During Gallbladder Surgery (Cholecystectomy)

When patients are considering or preparing for a cholecystectomy—the surgical removal of the gallbladder—their primary focus is often on relieving symptoms and returning to good…

25 July 2025

Open vs. Laparoscopic vs. Robotic Inguinal Hernia Repair: Which Approach Is Right for You?

If you’ve been diagnosed with an inguinal hernia, you may be wondering which surgical method is best for your situation. While open, laparoscopic, and robotic…

11 July 2025

Questions Patients Should Ask Before Gallbladder Surgery for Gallstones

Gallbladder surgery, or cholecystectomy, is a common procedure performed to treat symptomatic gallstones. If you’ve been advised to undergo this surgery, asking the right questions…

23 June 2025

Histotripsy: A Promising Non-Invasive Tumour Treatment—But Is It Right for You?

Understanding Histotripsy Histotripsy is an emerging, non-invasive treatment that uses ultrasound waves to break down tumours without surgery. Unlike chemotherapy or radiation, it relies on…

6 June 2025

What Questions Should I Ask My Surgeon Before Liver Surgery?

Preparing for liver surgery can feel overwhelming, but asking the right questions can help you feel informed and confident about your procedure. Here’s a guide…

20 May 2025

Pancreatitis: A Patient’s Guide

Pancreatitis is a condition characterized by inflammation of the pancreas, a vital organ located behind the stomach that plays a key role in digestion and…

6 May 2025

Adenomyomatosis of the Gallbladder: A Patient’s Guide

Adenomyomatosis is a condition that affects the gallbladder, a small organ located beneath the liver that plays a crucial role in digestion. While it may…

9 April 2025

Where does Robotic Surgery stand in NZ?

Dr Srinivasa was recently invited to the annual New Zealand Association of General Surgeons Annual Scientific Meeting to take part in the annual debate which…

2 April 2025

Dr Srinivasa at the Goodfellow Symposium

Dr Srinivasa was recently invited to speak to colleagues at the Goodfellow Symposium for the second consecutive year. This is the largest annual medical conference…

25 March 2025

Laparoscopic cholecystectomy – the best option for symptomatic gallstones

When it comes to symptomatic gallstones, the recommended treatment is often key-hole surgery to remove the gallbladder, a procedure known as a laparoscopic cholecystectomy. Many…

  • 1
  • 2
Go to Top